Invasive Cardiology Services in Pimpri Chinchwad
Welcome to Prem Clinic, your trusted heart care center offering advanced invasive cardiology services in Pimpri Chinchwad. Under the expert care of Dr. Dhananjay Zutshi, we provide safe and effective treatments for various heart problems that require catheter-based or minimally invasive procedures.
Our services include coronary angiography, angioplasty, pacemaker implantation, and other specialized treatments designed to diagnose and restore heart health with precision and care. Dr. Zutshi and his team focus on offering the latest medical techniques while ensuring patient comfort and quick recovery.
Whether you are from Pimple Saudagar, Nigdi, Rahatani, or nearby areas, you can count on our clinic for reliable, compassionate, and professional heart care. Your heart health is our top priority, and we are here to guide you every step of the way.
Best Invasive Cardiology Treatments
Check out our invasive cardiology treatments and services below. Under the expert guidance of Dr. Dhananjay Zutshi, we provide advanced invasive cardiac procedures designed to diagnose and treat complex heart conditions with precision and care. Explore how coronary angiography, angioplasty, and pacemaker implantation come together to restore and improve your heart health. At Prem Clinic, we offer safe, effective, and personalized cardiac care for patients from Pimple Saudagar, Nigdi, Rahatani, and nearby areas.
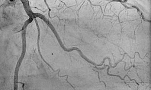
Coronary Angiography
Coronary Angiography is a procedure which is done to look for any blockages in the blood vessels of the heart
Coronary Angioplasty
Coronary Angioplasty is the procedure in which blockages in the blood vessels of the heart are treated. It involves balloon angioplasty alongwith stenting
Pacemaker Implantation
Pacemaker implantation is done when there is a problem in the rythmn with which the heart beats. Usually too low heart rate results in the requirement of a pacemaker
Implantable Cardioverter Defibrillator(ICD) Implantation
ICD implantation is done when there is a problem in the rythmn of the heart. Usually the problem is that of too fast heart beats. This machine is placed inside the heart and delivers a shock when such a life threatening situation occurs.
Cardiac Resynchronization Therapy(CRT)
CRT, also called Cardiac Resynchronization therapy , is a procedure done to help regain the pumping function of the heart, in conditions wherein the heart’s pumping function is reduced.Trust our experts for precise device placement, improving heart function and enhancing quality of life.
Balloon Mitral Volvotomy
BMV is done when there is narrowing of the heart valves. It involves opening up of the valve narrowing with a balloon.Trust our experts for precise device placement, improving heart function and enhancing quality of life.
ASD/VSD/PDA device closure
It involves closing of heart defects by the means of a device. This is done for treatment of congenital heart diseases.Trust our experts for precise device placement, improving heart function and enhancing quality of life.
Electrophysiology and Radio-Frequency ablation Procedures (EPS-RFA)
This procedure involves studying of the reason for the rythmn abnormalities of the heart, and treating them by radio frequency ablation.Trust our experts for precise device placement, improving heart function and enhancing quality of life.
Not Sure What You Need?
If you are unsure about your heart health or which test is right for you, do not worry. Just give us a call and book an appointment. Our team will guide you, check your condition, and recommend the most suitable non-invasive cardiology tests or treatments for your needs. We are here to make the process simple and stress-free for you.
