Our Services
Non-Invasive Cardiology Services in PCMC
Our Non-Invasive Cardiology Services in PCMC focus on advanced diagnostic tests and treatments without surgery. With expert care and modern technology, we help you protect your heart health safely and effectively.
From early diagnosis to advanced care, we offer complete non-invasive cardiology services under one roof.
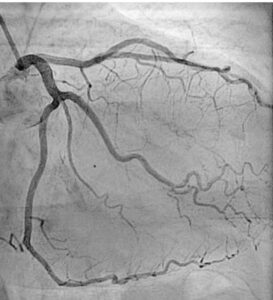
Coronary Angiography Test in Pimpri Chinchwad
Our Coronary Angiography Test helps detect blockages and assess the health of your heart’s arteries. At our Pimpri Chinchwad clinic, expert cardiologists perform this safe and accurate test using advanced imaging technology. Early diagnosis through this test allows effective treatment for heart conditions. Book your coronary angiography test today for better heart care.
